רפואת השיניים המודרנית ככלל והאורתודונטיה בפרט מציעות מגוון גדול של פתרונות לכל מי שזקוק לטיפול דנטלי-רפואי או אסתטי לשיניו. החל מטיפולי שורש דרך ציפוי שיניים ועד להשתלות שיניים – וכמובן, יישור שיניים. בעבר, הייתה שיטה אחת ליישור שיניים, גשר סמכים (קוביות) מתכתי אך כיום ישנם פתרונות נוספים שמאפשרים ליצור גשר דיסקרטי יותר, פחות בולט ומתאים גם למי שחושש מפגיעה במראה כתוצאה מהגשר. אחד הפתרונות בתחום הוא גשר סמכים שקופים.
מהן הסיבות ליישור שיניים ולשימוש בסמכים שקופים?
יישור שיניים הוא תהליך בו רופא השיניים גורם לתזוזה של השיניים (קלה ולאורך זמן) למנח אסתטי ותקין יותר. המטרה היא יצירת שורת שיניים מתפקדת, בריאה ונאה. עבור מרבית המטופלים, הסיבה לצורך ביישור שיניים היא גנטית – צמיחה לא נכונה של השיניים הקבועות שיוצרת מראה לא אסתטי ו/או קשת שיניים לא בריאה (שיניים עודפות, שיניים עקומות שלא “יושבות” כראוי ועוד) וניתן לאבחן אותו כבר בילדות המוקדמת. לעיתים, תזוזה של קשת השיניים בגיל מאוחר יותר בשל עקירת שן, מחלת חניכיים ואובדן שיניים מחבלה או מכה חזקה עשויים לגרום לצורך ביישור שיניים.
מהם סמכים אורתודונטים? מה תפקידם בגשר לשיניים?
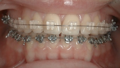
הסמכים האורתודונטים עשויים ממתכת (פלדת אל-חלד) או חרסינה שקופה. במרפאתנו נעשה שימוש בסמכים המתכתיים הקטנים ביותר הקיימים כיום. סמכים אלו מודבקים על השיניים בעזרת דבק מיוחד. הסמכים מחוברים בחוט מתכת המפעיל כוחות על השיניים ומביא לתזוזתן. בדרך כלל, החוט מחובר אל הסמכים באמצעות גומיות וניתן לבחור את צבע הגומיות הקושרות את החוט אל הסמכים. אנו משתמשים גם בסמכים חיצוניים שקופים או מתכתיים המתחברים לחוט ישירות, ללא צורך בגומיות (Self ligating).
מהם סמכים שקופים? מה ההבדל בינם לבין סמכים מתכתיים?
כאמור, סמכים “קלאסיים” עשויים ממתכת (פלדת אל חלד), ומחוברים אחד לשני עם חוטי מתכת וגומיות – זה הוא הגשר שכולנו מכירים. כאשר אומרים סמכים שקופים ההתייחסות היא לאותן קוביות המקובעות לשיניים רק שבמקרה זה הן עשויות חרסינה שקופה ולא מתכת. הסיבה לכך היא אסתטית והמטרה היא לגרום לגשר להיות כמה שפחות בולט. מעבר לפן האסתטי, סמכים שקופים מתפקדים בדיוק כמון הסמכים המתכתיים. למידע נוסף על תהליך יישור שיניים שקוף לחצו על הלינק.
מה היתרונות של סמכים שקופים?
היתרון הגדול ביותר של הסמכים השקופים הוא כמובן האסתטיות שלהם. סמכים מסורתיים העשויים מתכת בולטים מאוד בזמן אכילה, דיבור וחיוך בעוד שהסמכים השקופים מאפשרים לשמור על נראות פנים נאה ואסתטית למשך כל תהליך יישור השיניים. כשמדובר בסמכים מסוג Self ligating המתחברים ישירות לחוט ללא צורך בגומיות, ישנם יתרונות נוספים: ניקיון ושמירה על היגיינה קלים יותר, הם בולטים אפילו פחות מן הסמכים השקופים הרגילים והם נוחים יותר למטופל (יש פחות תחושת לחץ על השיניים).
האם יש חסרונות לסמכים שקופים?
סמכים שקופים מתפקדים בדיוק באותה צורה כמו סמכים מתכתיים כך שמבחינת איכות הטיפול, אפשרויות הטיפול ואורכו אין הבדלים ומדובר למעשה בטכניקה זהה. החיסרון היחיד הוא של סמכים מחרסינה – מכיוון שמדובר בחומר פחות עמיד ממתכת ישנן כמה הגבלות שחשוב לשים לב אליהן. ראשית על המטופל להימנע מאכילת מזונות קשים במיוחד כמו אגוזים, גזרים וכדומה. שנית, אין לאכול מזונות דביקים במיוחד כמו מסטיקים למשל. לבסוף, חשוב להימנע מהרגלים כמו כסיסת ציפורניים ופתיחת אריזות עם השיניים ובאופן כללי להשתמש בשיניים אך ורק ללעיסה. כמובן שמדובר במשנה זהירות, הסיכוי לשבור או להזיז את הסמכים ממקומם אינו גבוה אך אין צורך להתגרות בגורל.
חיסרון נוסף של שיטת הסמכים, לאו דווקא השקופים, הוא בצורך לשמור על שגרת היגיינה דנטלית מוקפדת במיוחד – לצחצח שיניים לאחר כל ארוחה, להשתמש בציוד דנטלי ייעודי לגשרים בשיניים (כמו קיסמים מיוחדים למטרה זו), להקפיד הקפדה יתרה על ביקורים סדירים במרפאת השיניים ובאופן כללי לנסות להמנע מכל מאכל שמכתים את השיניים.
כמה זמן אורך התהליך?
משך הזמן הדרוש ליישור השיניים תלוי במידה רבה בחומרת הבעיה ופחות בסוג היישור הנבחר. במקרים קלים, אפשר להסתפק בחצי שנה של טיפול אך עבור מרבית מי שזקוק ליישור שיניים, מדוב בתהליך של כשנה עד שנתיים. השימוש בסמכים שקופים בהחלט מקל על התהליך מבחינה אסתטית, מאפשר הן לבני נוער והם למבוגרים להרגיש נוח יותר עם הרעיון של גשר בשיניים, לשמור על אטרקטיביות ולעבור את הליך היישור בצורה נעימה יותר.
מה ההבדל בין קשתיות שקופות לסמכים שקופים?
שיטה נוספת ליישור שיניים אסתטי במיוחד היא שיטת הקשתיות השקופות. שלא כמו סמכים המקובעים לשיניים ומחוברים בעזרת חוטים וגומיות, כאן עושים שימוש בקשתיות שקופות. הקשתיות “מתלבשות” על השיניים, ניתנות להסרה והן שקופות לגמרי – אין חוטים, אין גומיות, אין דבר שבולט ונראה לעין. למעשה, הקשתיות כמעט בלתי ניתנות לזיהוי, בטח ובטח שלא על ידי עין בלתי מקצועית. קשתיות ליישור שיניים מתאימות בעיקר למבוגרים הן בשל הצורך בשיתוף פעולה ואחריות מצד המטופל (הן לא מקובעות וילדים צעירים עשויים לאבד אותן למשל) והן בשל מחירן הגבוה יחסית לשיטות אחרות. בנוסף, שלא כמו יישור שיניים בעזרת סמכים, שיטה זו לא מתאימה למקרים מורכבים.
למי מתאים יישור שיניים עם סמכים שקופים?
המטרה של יישור שיניים היא לשפר את האסתטיקה של שורת השיניים שלנו, ליצר מראה שיניים ישר יותר, אחיד יותר ונאה יותר. כל מי שזקוק ליישור שיניים ממתין לרגע בו הגשר יוסר והוא יוכל לראות את התוצאה – שיניים ישרות ואטרקטיביות יותר. אך באופן פרדוקסלי, הדרך למראה שיניים נאה עוברת בגשר לשיניים. עבור ילדים צעירים, ישנו חן מסוים בגשר, ניתן אפילו להשתמש בגומיות צבעוניות לקישוט של הגשר ויצירת מראה חינני וצבעוני. אך עבור בני נוער בגיל העשרה ובטח ובטח עבור מבוגרים, גשר בשיניים עשוי להרתיע ולו בשל המראה שהוא יוצר. בדיוק לשם כך פותחו שיטות דיסקרטיות יותר ליישור שיניים כמו גשר עם סמכים שקופים. למרבה המזל, בסמכים שקופים אפשר להשתמש למקרים קלים ועד למורכבים מאוד הדורשים יישור שיניים ארוך טווח, הם מתאימים לכל גיל ולכל אנטומיה דנטלית. בנוסף, מחיר הטיפול בשיטה אינו גבוה משמעותית מגשר מתכתי סטנדרטי ובהחלט שווה לכל כיס.



