מרפאת גזית-רפפורט לאורתודונטיה בתל-אביב (רמת החייל) מציעה טיפול אורתודונטי לילדים על ידי פרופ’ אתי גזית וד”ר טלי גזית-רפפורט, מומחיות ליישור שיניים בעלות ניסיון במגוון עצום של טכניקות טיפול חדשניות ברמה מקצועית גבוהה.
באמצעות יישור שיניים ניתן לתקן:
- שיניים צפופות ועקומות
- הפרעות סגר
- פערים בין הלסתות
מהו הגיל המומלץ להתחיל ביישור שיניים לילדים?
ביקורת ראשונה אצל אורתודונט מומלצת כבר בגיל 6 !
החל מגיל 6 ישנה חשיבות לביצוע מעקב אצל אורתודונט מומחה לבדיקת מצב הלסתות והשיניים והתאמת טיפול ליישור שיניים במידת הצורך. ישנה חשיבות כאשר מתגלה צורך בכך להתחיל טיפול יישור שיניים לילדים בגיל מוקדם, במטרה להמנע מטיפולים מורכבים בהמשך.
כאשר ישנה בעיה ספציפית בגיל מוקדם (גילאי 6-11), מומלץ לטפל ולא לדחות לגיל מאוחר יותר, מכיוון שסיכויים גבוהים שהטיפול יהיה קצר יחסית, וכזה שנותן מענה לבעיה ממוקדת באופן האופטימאלי ביותר. הסיבות ליישור שיניים בגיל מוקדם יכולות להיות: קיום הרגל של מציצת אצבע/מוצץ, צורך בפינוי מקום לשיניים קבועות לאחר שהשיניים החלביות נשרו מוקדם מאוד, בעיה תפקודית ספציפית המפריעה לדיבור/אכילה ולעיסה, בעיה אסתטית המפריעה לילד באופן בולט, ושיפור מראה הפנים הכללי כתוצאה מהליך יישור השיניים.
הגיל הרצוי להתחלה של טיפול אורתודונטי הוא לקראת גמר בקיעת השיניים הקבועות. גיל זה משתנה בין ילדים, ונקבע על פי צילומי נשך. גיל זה הוא בדרך כלל בין 11-14 שנים. יש מקרים שהטיפול מתחיל בגיל מוקדם יותר, לפני התחלפות כל שיני החלב, כדי לפתור בעיות אשר עשויות להחמיר תוך כדי הגדילה במידה ולא נפתרות מיידית.
בגילאי 11 ואילך, טיפול יישור שיניים הינו שכיח מאוד והסיבות לביצועו הינן מגוונות:
- צפיפות או רווחים גדולים בין השיניים.
- בעיות סגר.
- קשת שיניים עליונה בולטת מאוד מעבר לקשת התחתונה, או להיפך.
- חוסר שיניים מולד הגורם לנטייה של השיניים הסמוכות לעבר הרווחים.
- שיפור ביחסים בין הלסתות.
- פגמים במבנה הפה והלסתות הגורמים לבעיה פונקציונאלית (השפעה על הדיבור/אכילה/לעיסה), רפואית או אסתטית.
- שיניים ישרות קל יותר לנקות ולשמור על היגיינה, וכך לצמצם את הסיכוי להיווצרות עששת, חורים בשיניים ובעיות חניכיים.
שיטות ליישור שיניים
על מנת לקבל החלטה באיזה שיטת טיפול לבצע את תהליך יישור השיניים, על הילד/נער המועמדים ליישור שיניים לעבור בדיקה ראשונית מקיפה אצל אורתודונט מומחה, אשר יבצע הערכה ואבחון מקצועי של הפגם או הליקוי בשיניים/לסתות/סגר, תוך בדיקה מקיפה של תפקוד הפה והפנים. כל זאת באמצעות צילומי רנטגן וצילומים פנורמיים רלוונטיים, אשר ישקפו לאורתודונט בצורה מלאה ויסודית את מצב הפה והפנים, במטרה להעריך ולאתר את הבעיה. לאחר קבלת הערכה ואבחון מלא של המצב, האורתודונט יקבע את שיטת הטיפול המתאימה ביותר לצורך יישור השיניים בהתאמה למצב המטופל, ויקבע תוכנית טיפול בהתאם.
גשר
השיטה השכיחה ביותר ליישור שיניים. הגשר הינו למעשה סמכי מתכת המודבקים על גבי השיניים ומחוברים בניהם באמצעות חוט וגומיות. כל תקופה, על פי החלטת האורתודונט ומצב התקדמות הטיפול, מתבצעת מתיחה של הגומיות במטרה לתקן רווחים בין השיניים.
יתרונות: שיטה וותיקה ואמינה ביותר ליישור שיניים, נבדקה ונבחנה אינספור פעמים, מתאימה לכל סוג של יישור שיניים החל מקל ועד מורכב ביותר, לא דורשת מיומנות מיוחדת מצדו של רופא השיניים שכן מדובר על שיטה מאוד נפוצה, מחיר נמוך יחסית לשיטות אחרות.
חסרונות: גשר מתכת קלאסי בולט למראה, אי אפשר שלא לראות את העובדה שיש למטופל גשר על שיניו. כשמדובר על מבוגרים הרי שעצם העובדה שניתן לראות את הגשר בקלות יכול להרתיע מאוד מקבל הטיפול. קשה לש=צחצוח ושמירה כללית על בריאות השיניים בנוכחות גשר.
סמכים פנימיים
יישור שיניים פנימי (לינגואלי) – הדבקת סמכים המותאמים לכל שן בחלק הפנימי של השיניים, המונעים פגיעה אסתטית.
יתרונות: שיטה דיסקרטית יחסית ליישור שיניים, הגשר מורכב בחלק הפנימי של קשת השיניים ולכן הוא פחות בולט מגשר רגיל. מחיר יקר יותר מגשר קלאסי אך זול יותר מאופציות כמו קשתיות שקופות.
חסרונות: הרכבת הגשר אינה פשוטה ונדרשת מיומנות מיוחדת מצדו של רופא השיניים, לעיתים יש צורך במספר פגישות התאמה. לוקח זמן להתרגל לנוכחות הגשר, ולבסוף, הוא אמנם לא מאוד בולט אך עדיין אפשר לראות אותו. כמו בגשר סטנדרטי גם כאן ישנו קושי מסוים לצחצח את השיניים ולשמור על בריאותן הכללית בזמן הטיפול.
פלטה
אמצעי ליישור שיניים שאינו קבוע, וניתן להסירו במידת הצורך. בדרך כלל האורתודנט יבחר בשיטה זו כאשר יש צורך לתקן רווחים יחסית קטנים בין השיניים. יתרון של שיטה זו היא האפשרות להסיר את המתקן האורתודונטי (הפלטה) לצורך ניקוי יסודי.
יתרונות: היתרון הגדול של פלטה הוא שניתן להסירה כדי לשמור על היגיינה טובה, היא מעט פחות בולטת מן הגשר הסטנדרטי והטיפול בה קצר.
חסרונות: לא מתאימה לכל סוג של יישור שיניים. למעשה, במרבית המקרים פלטה היא השלב האחרון בתוכנית כללית ליישור שיניים. לרוב, פלטה משמשת כרטנציה. כלומר כדי לשמור על השיניים במקומן החדש לאחר הסרת הגשר. כמו כן, פלטה מחייבת מידה של משמעת עצמית כך שהיא אינה מתאימה לילדים צעירים מאוד למשל.
רסן
מתקן אורתודונטי הנועד לשפר יחסים בין הלסתות. הרסן הינו מתקן הניתן לשליפה, ובדרך כלל ישולב עם גשר בשיניים, כאשר הרסן יותקן במהלך שעות הלילה.
יתרונות: שיטה יעילה לטיפול בבעיות של מנח לסת, עקרונית מתאימה לילדים אך רק במקרים ספציפיים ולא לכל הליך של יישור שיניים.
חסרונות: מדובר על מכשור בולט ביותר ואם נדרשים להרכיב אותו למשך שעות ארוכות הרי שבלתי נמנע להופיע איתו בחברה. עבור ילדים, אם הם צריכים להופיע עם הרסן בבית הספר למשל יכולה להיות התנגדות לטיפול. כמו כן, לרסן יכולות להיות תופעות לוואי כמו כאבי ראש.
קשתיות שקופות (אינויזליין)
טיפול יישור שיניים בשיטת הקשתיות השקופות מתבצע בשלבים. האורתודונט מבצע על ידי תכנת הדמיה תלת ממדית, אבחון מלא על מצב השיניים, שעל פיו הוא מייצר סדרת קשתיות שקופות המותאמות למטופל באופן אישי. המטופל יצטרך להרכיב כל קשתית בסדרה לתקופה של מספר שבועות, עד תום התהליך והשגת התוצאה המתבקשת.
גם הקשתיות השקופות בדומה לפלטה ניתנות להסרה בעת הצורך, וניתן לנקותן בצורה יסודית מחוץ לפה. הקשתיות עשויות אקריל, הן שקופות ומהוות מתקן אורתודונטי אסתטי בשל כך.
בשיטה זו על המטופל להיות מחויב לתהליך בכדי להגיע לתוצאות אופטימאליות.
יתרונות: מתאים למרבית סוגי יישור השיניים הנדרשים, לא דורשות מיומנות מיוחדת מהרופא, התאמה מושלמת לשיניים שכן הקשתיות מיוצרות בטכנולוגיה מתקדמת ללא מגע יד אדם ולפי מדידות ספציפיות, זמן הטיפול קצר יותר מגשר רגיל במרבית המקרים, ניתנות להסרה כדי לאכול ולנקות היטב את השיניים והתירון הגדול ביותר – כמעט בלתי נראות. קשה מאוד על בלתי אפשרי לשים לב לכך שהמטופל אכן מרכיב אותן, מאוד דיסקרטי.
חסרונות: מחיר גבוה מן השיטות האחרות, דורש משמעת עצמית (וכמובן לא לאבד את הקשתיות) ולכן לא מתאים לילדים צעירים או מי שאינו מסוגל לקחת אחריות אישית על הטיפול.
מהלך הטיפול האורתודונטי
בביקורת הראשונה מאתרים בעיות סיגריות איתן יש להתמודד בהקדם, כלומר מיד כאשר הן מתגלות. במקרים אלה לא כדאי להמתין להתחלפות כל השיניים.
בעיות סיגריות נובעות משני מצבים:
- עמדת שיניים לא נכונה המכריחה את הילד לסגור בצורה עקומה
- עמדת לסת לא נכונה הגורמת לעיוות בפנים.

מנשך הפוך (השיניים העליונות בעמדה פנימית לעומת התחתונות) בכל הצד השמאלי של הפה.
במקרה הזה מנח השיניים מכריח את הילד לסגור עקום וגורם לעיוות בפנים. שימוש בפלטה מיוחדת למשך מספר חודשים מועט מאפשר להזיז את השיניים העליונות החוצה, לשנות את צורת הסגירה ולאפשר המשך גדילה תקין.

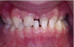
מנשך הפוך באזור השיניים הקדמיות וחוסר מקום לשן קדמית.
במקרה הזה יש מספר אפשרויות טיפוליות אשר תמשכנה מספר חודשים. המטרה תהיה לתקן את הסגירה על ידי הזזת השיניים העליונות קדימה ופתיחת מקום לשן שאין לה מקום, זאת על מנת לאפשר המשך בקיעה תקין של שאר השיניים

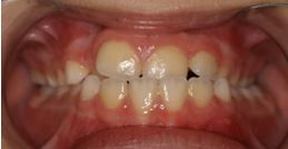
מנשך פתוח באזור קדמי, ומנשך הפוך בצד שמאל של הפה.
במקרה הזה נרחיב את הלסת העליונה בעזרת מכשיר הרחבה ואחכ נעודד סגירה של המנשך הפתוח.
כיצד לשמור על היגיינת פה עם פלטה או גשר?
שמירה על היגיינת פה עם פלטה פשוטה מאוד שכן היא ניתנת להסרה. כל מה שצריך לעשות הוא לזכור להוציא אותה לפני אכילה וכמובן צחצוח שיניים. עם גשר, שמירה על היגיינה דנטלית יכולה להיות קצת יותר מאתגרת אם כי כמובן שאפשרית. חשוב מאוד לצחצח היטב את השיניים, לשים לב במיוחד לכל קובייה וקובייה שמורכבת על השיניים ולהשתמש גם במי פה. בנוסף, כדאי להימנע ככל האפשר ממזון מתוק במיוחד וכמובן מזונות קשים או דביקים שיכולים להיתקע בגשר ובשיניים. לבסוף, חשוב ביותר לא לפספס בדיקות מעקב במרפאת השיניים לשמירה על השיניים בריאות גם בזמן תהליך היישור.
ביקורת ומעקב
כאשר מתייחסים לטיפול יישור שיניים בקרב ילדים, לעיתים החשיבות הגבוהה ביותר היא לטיפול מניעתי. ההמלצה היא להגיע לביקורות תקופתיות אצל אורתודונט, במטרה לוודא שצמיחת השיניים ומיקומי הלסתות תקינות, ואין התפתחות של מצבים חריגים הזקוקים להתערבות מוקדמת. ככל שנקדים לטפל במקרים יוצאי דופן כאמור, הטיפול יהיה קצר ופשוט יותר, וכך נמנע מטיפולים מורכבים וממושכים יותר בהמשך.
במרפאת גזית רפפורט אורתודונטיה, מציעים טיפולים אורתודונטיים בכל השיטות ולכל טווח הגילאים. נשמח לעמוד לרשותכם ולרשות ילדיכם ולהעניק לכם את האבחון המקצועי והמדויק ביותר של מצב השיניים, ולהמליץ על הטיפול המתאים ביותר, בסבלנות, רגישות ומקצועיות ללא פשרות.
לאחר סיום השלב הטיפולי הזה נמשיך לעקוב אחרי הילדים ולבדוק האם המשך הגדילה מתרחשת באופן תקין ושיני החלב מתחלפות באופן סדיר.
בסיום השלב הזה נעריך האם יש צורך בטיפול אורתודונטי נוסף.
שאלות ותשובות בנושא יישור שיניים לילדים
האם התוצאות של יישור שיניים הן קבועות?
תהליך יישור השיניים המרכזי מסתיים לאחר הורדת הגשר. כאשר האורתודונט משוכנע שהשיניים הגיעו למנח הנכון והאסתטי ביותר. במרבית המקרים כדי למנוע מהשיניים לנוע למנח אחר ופחות רצוי יש צורך בקיבוע – רטנציה. ישנם שני סוגים של קיבועים: קיבוע נשלף (פלטה) וקיבוע קבוע. את הקיבוע הנשלף יש להרכיב למשך היום או הלילה לאומת הקיבוע הקבוע שכשמו הוא – מקובע לשיניים ללא צורך בהסרה שלו. האם השיניים בכל זאת יכולות לנוע למנח אחר במהלך החיים? ישנם מקרים מסוימים בהם בגילאים מבוגרים מחלות חניכיים ועששת יכולות לגרום לתזוזה של השיניים אך אלו אינן קשורות לתהליך האורתודנטי המקורי.
מה היתרונות להתחלה בגיל צעיר?
לסת של ילדים היא גמישה, עדיין נמצאת בתהליך גדילה ולכן התחלה של יישור שיניים בגיל צעיר יעילה יותר. במיוחד כשמדובר על בעיות מנשך שדורשות שינוי במבנה הלסת. ככל שמתחילים את התהליך בגיל צעיר יותר כך עולים סיכויי ההצלחה, השיטות האורתודונטיות עדינות יותר ודורשות פחות זמן עד לקבלת התוצאות הרצויות.
האם התהליך כואב?
המטרה של יישור שיניים היא להזיז את השיניים למיקום שונה על ידי הפעלת לחץ מתון על השיניים ו/או הלסתות. הפעלת הלחץ יכולה לגרום לאי נוחות ואפילו כאב. התחושה מודגשת בימים הראשונים להרכבת הגשר וכאשר נעשים שינויים בתהליך כדי לקדם את היישור. אפשר להקל על התחושה בשיטות שונות כולל שימוש במשחות ייעודיות להקלה על התחושה של עצם זר בפה. מרבית הילדים מתרגלים לתחושה של גשר על השיניים די מהר ולא סובלים מתופעות לוואי מיוחדות.
מה האחריות של הילד בתהליך?
כשמדובר על הרכבת גשר קבוע האחריות של הילד בתהליך קטנה יחסית. עליו להיות מודע לגשר, להתריע אם משהו זז מהמקום למשל או מתנתק (די נדיר). מעבר לזה, חשוב מאוד לשמור על שגרת צחצוח שיניים והגעה לכל פגישות השיננית והאורתודנט באופן סדיר (אפשר לומר שזו אחריות משותפת של ההורה והילד תלוי בגיל הילד). כמו כן, על הילד להמעיט באכילת מזונות עתירי סוכר ושתייה מתוקה ולהימנע ממזונות דביקים במיוחד או כאלו שיש להם פוטנציאל להיתקע בשיניים או לפגוע בגשר כמו אגוזים ופיצוחים.



