נוער – תמונות לפני ואחרי

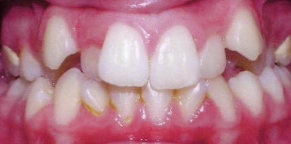
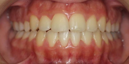
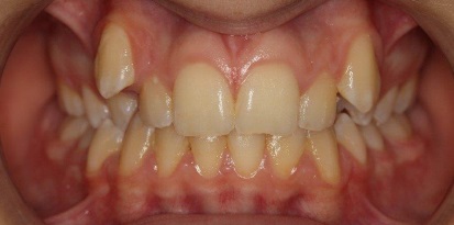
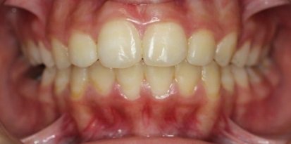
לפני יישור השיניים בפלטותגשר פנימי מוסתר- אחרי
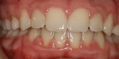
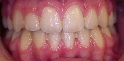
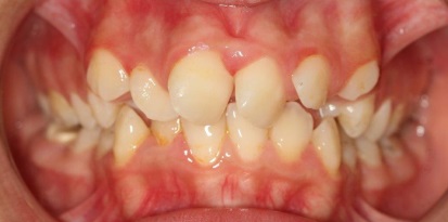
לפני שימוש בגשר בלתי נראהאחרי גשר פנימי בלתי נראה
מרפאת גזית – רפפורט אורתודונטיה מומחים ליישור שיניים
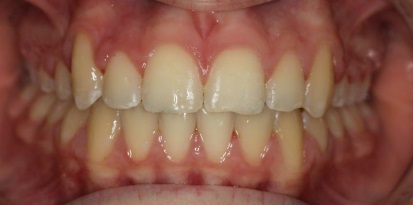
לפני שימוש בסמכים שקופיםתמונה אחרי שימוש בפלטות
מרפאת גזית – רפפורט אורתודונטיה מומחים ליישור שיניים

לקביעת תור במרפאה אנא השאירו פרטים




    052-5927300