אודות
המלצות על מרפאת גזית – רפפורט
צוות המרפאה
יישור שיניים
ילדים
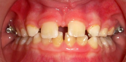
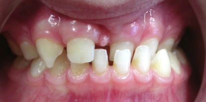
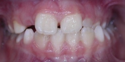
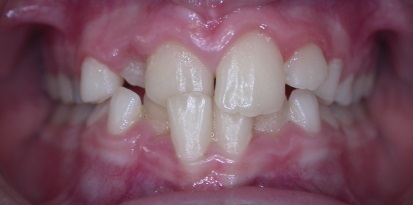
ילדים – תמונות לפני ואחרי
נוער
נוער – תמונות לפני ואחרי
מבוגרים
יישור שיניים למבוגרים- תמונות לפני ואחרי
גיל הזהב
גיל הזהב – תמונות לפני ואחרי
יישור וכירורגיה -יישור שיניים מורכב
יישור שיניים שקוף עם קשתיות של ספארק/SPARK
יישור שיניים – שאלות ותשובות
טכניקות
סמכים חיצוניים
סמכים לינגואליים – יישור שיניים פנימי
פלטות שקופות – Invisalign
גלריית החיוכים
צרו קשר
Language
English
Russian
מאמרים
Home
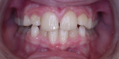
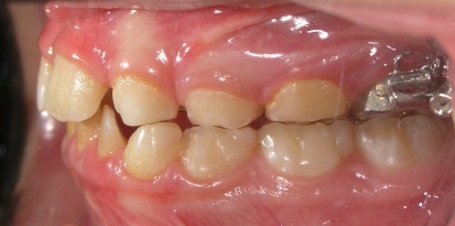
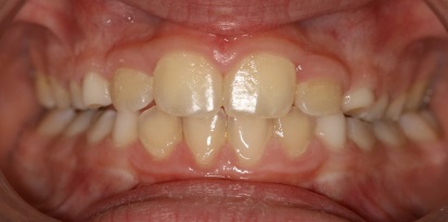
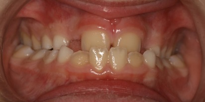
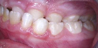
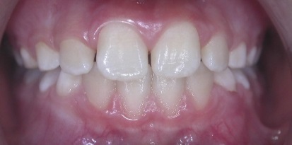
ילדים – תמונות לפני ואחרי
ילדים – תמונות לפני ואחרי
יישור שיניים
ילדים
ילדים – תמונות לפני ואחרי
נוער
נוער – תמונות לפני ואחרי
מבוגרים
יישור שיניים למבוגרים- תמונות לפני ואחרי
גיל הזהב
גיל הזהב – תמונות לפני ואחרי
טכניקות
יישור שיניים מורכב
סמכים חיצוניים
סמכים לינגואליים – יישור שיניים פנימי
פלטות שקופות – Invisalign
שאלות ותשובות
צור קשר
מאשר/ת את
מדיניות פרטיות
אנו משתמשים בעוגיות (Cookies) כדי להבטיח שתקבל/י את החוויה הטובה ביותר באתר שלנו. אם תמשיך/י להשתמש באתר, נניח כי את/ה מרוצה מכך.
מסכים/ה
לא מסכים/ה
מדיניות פרטיות
לקביעת תור במרפאה אנא השאירו פרטים
X
מאשר/ת את
מדיניות פרטיות
052-5927300